De rechazar la vacuna de AstraZeneca a ingresar grave en la UCI por coronavirus
El caso ha conmocionado a los Países Bajos, donde los sanitarios piden que se deje de inyectar miedo
Las dudas que están surgiendo en torno a los riesgos que entraña la vacunación contra el coronavirus, en concreto la vacuna de AstraZeneca, está provocando un rechazo cada vez más creciente hacia la inmunización, pese a ser el mejor método que tenemos de protegernos de la Covid-19.
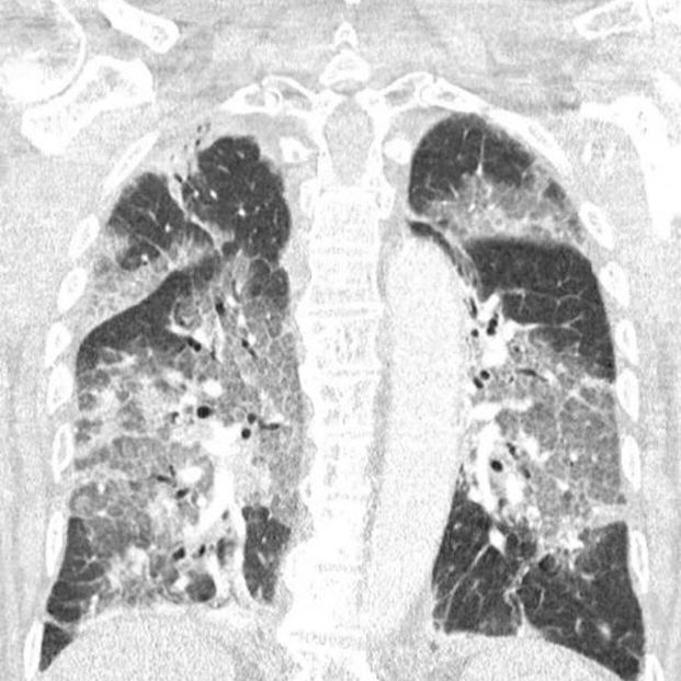
Tal y como sucedió con la vacuna de AstraZeneca, la de Janssen se encuentra en suspensión ante la aparición de casos de trombosis. Pero lo que hay que comprender es que decidir no vacunarse para evitar estos riesgos puede conllevar asumir otros más peligrosos. Fue el caso de un hombre que, después de rechazar la vacuna de AstraZeneca, ahora se encuentra hospitalizado grave en la UCI con coronavirus en el centro médico Zuyderland, en los Países Bajos.
Carta al ministro de Sanidad
A raíz de este suceso, los sanitarios neerlandeses han escrito una carta al ministro de Sanidad, Hugo de Jonge, en la que critican la actitud del gobierno al paralizar la vacuna de Janssen y las limitaciones de edad impuestas al uso de la vacuna de AstraZeneca. Acompañaron la carta con una radiografía de los dañados pulmones del paciente, una imagen que se ha vuelto viral en redes sociales.

Según una encuesta realizada por I&O, encargada por la televisión neerlandesa NOS, un 42% de las personas mayores de 60 años que aún están sin vacunar en los Países Bajos se negaron a ponerse la vacuna de AstraZeneca. Es por ello que los sanitarios del centro insisten en su carta sobre el "riesgo de daño grave causado por la Covid-19, que es 10 veces mayor para las personas de 40 años y 70 veces mayor para las de 60 años". "El verdadero riesgo de daño grave por trombosis es la no administración de la vacuna", intentan tranquilizar.
"Hoy ingresó en nuestro hospital el primer paciente que se había negado a recibir la vacuna de AstraZeneca tras toda la conmoción en la prensa. Oímos el tremendo pesar en su voz y la desesperación en sus ojos. El virus lo ha atacado y podría haberse evitado. Con su permiso, compartimos su escáner de pulmón. No es necesario ser un especialista en pulmones para reconocer la devastación, ni epidemiólogo para explicar los riesgos de no estar vacunado", advertían.
Al igual que ocurre en España, Países Bajos administra la vacuna de AstraZeneca solo a los mayores de 60 años después de que la EMA alertara de un "posible vínculo" de decenas de casos de trombos en personas que recibieron esta vacuna. Mientras tanto, mantiene alamacenadas 80.000 dosis de Janssen a la espera de la valoración de la Agencia Europea del Medicamento (EMA) sobre su seguridad y su posible relación con los seis casos registrados de trombosis en Estados Unidos, el único país que ha usado ya esta vacuna.
Beneficios de la vacunación masiva
"Hasta ahora, hemos atendido a más de 3.000 pacientes con coronavirus y, mientras habla con expertos sobre la reapertura de la sociedad para ofrecer perspectiva, nosotros todavía vemos a diario las tremendas consecuencias de esta enfermedad", alertaban en la carta.
Con una tercera ola de contagios descontrolada, los trabajadores de primera línea contra la Covid-19 criticaban: "Los empleados se preguntan legítimamente por qué deben continuar brindando atención sin la protección adecuada, mientras las vacunas esperan en el refrigerador".
Piden que se deje de inyectar miedo a la población y de retrasar la vacunación, recordando que "las cifras muestran que los beneficios de la vacunación masiva son abrumadores y no mienten".
"Dejemos que la gente elija si quiere evitar una situación como la de nuestro paciente", insistieron, defendiendo "la vacunación voluntaria sobre la base del consentimiento informado", y pidiendo poner a su disposición "AstraZeneca, Janssen o cualquier otra vacuna".
Como conclusión a su carta, los sanitarios firmantes avisaron sobre la posibilidad de utilizar todas las vacunas de AstraZeneca que tienen en las neveras para usarlas en las personas que lo deseen, como los empleados y médicos del centro hospitalario, advirtiendo de que ya no "cooperarán voluntaria y conscientemente con daños que se pueden evitar a través de la vacunación".
