Con un solo escáner ya se puede 'ver' el envejecimiento del cerebro
Un nuevo reloj del envejecimiento predice el riesgo de demencia años antes de su inicio
Se abre un nuevo camino para detectar el alzhéimer de forma muy precoz
Las pruebas de imagen no invasivas que predicen el alzhéimer 20 años antes de su aparición
Llega el nuevo reloj epigénetico que mide el envejecimiento con una muestra de sangre
Sabemos que el envejecimiento es el deterioro gradual, progresivo y correlacionado de múltiples sistemas orgánicos a lo largo de décadas. Pero los estudios muestran una variación individual sustancial en la tasa de envejecimiento: las personas nacidas el mismo año pueden envejecer más lenta o rápidamente que sus congéneres, como demuestran ensayos como el recogido en 'Nature Aging'.
Además, el envejecimiento en sí mismo se considera cada vez más una causa potencialmente prevenible de enfermedades crónicas. Es por todo ello que se necesitan medidas precisas y fiables de la velocidad del mismo para estudiar eficazmente cómo la variación individual en la tasa de envejecimiento contribuye al riesgo de enfermedad y para evaluar, también, intervenciones destinadas a ralentizar su evolución antes de un deterioro irreversibles, como se recuerda en varias investigaciones. Una de ellas ha sido publicada en 'Elife'.
Las alteraciones en la metilación del ADN sensibles a la edad, conocidas como relojes epigenéticos, son actualmente las medidas más utilizadas para estimar las diferencias individuales en el envejecimiento, como recuerda un trabajo de' 'Nature Review Genetics'. Los de primera generación se entrenaron con la edad cronológica, pero cuanto más precisa era su predicción de la edad cronológica, menos fiable era su predicción de los resultados clínicos. En respuesta, los de segunda generación se entrenaron con medidas de salud que predicen la mortalidad en personas mayores, se documenta en 'Aging'. Sin embargo, estos relojes se entrenaron con fenotipos transversales en muestras multiedad, no con observaciones longitudinales de la misma persona, como se recomienda en la geociencia. Esta limitación condujo al desarrollo de un enfoque longitudinal de tercera generación para la medición del envejecimiento.
El nuevo 'reloj del envejecimiento'
Ahora para y piensa, por ejemplo, en esto: cualquier reunión de exalumnos es un duro recordatorio de que algunas personas envejecen con más ‘salero’ que otras. Algunas llegan a la vejez aún con energía física y agudeza mental. Otras empiezan a sentirse frágiles u olvidadizas mucho antes de lo esperado.
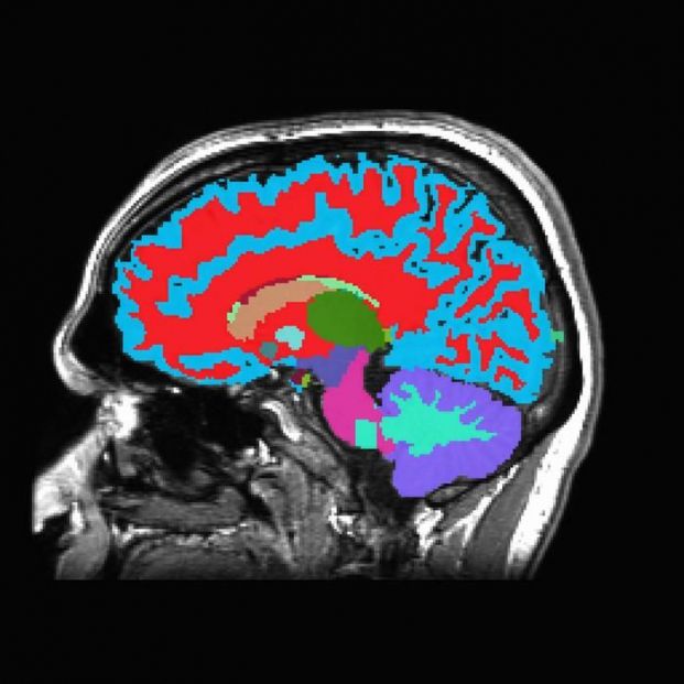
Pues bien, científicos de las Universidades de Duke,Harvard y de la Universidad de Otago en Nueva Zelanda han desarrollado una herramienta disponible gratuitamente que puede determinar qué tan rápido está envejeciendo alguien, y mientras todavía está razonablemente saludable, mirando una instantánea de su cerebro.
"La forma en que envejecemos a medida que lo hacemos es bastante distinta de cuántas veces hemos viajado alrededor del sol", ha aseverado Ahmad Hariri, profesor de psicología y neurociencia en la Universidad de Duke y uno de los coautores de este nuevo hallazgo, en un comunicado.

A partir de una sola resonancia magnética cerebral, la herramienta puede estimar el riesgo de padecer enfermedades crónicas en la mediana edad que suelen manifestarse décadas después. Esta información podría ayudar a motivar cambios en el estilo de vida y la alimentación que mejoren la salud. En las personas mayores, la herramienta puede predecir si alguien desarrollará demencia u otras enfermedades relacionadas con la edad años antes de que aparezcan los síntomas, cuando podrían tener una mejor oportunidad de retrasar el curso de la enfermedad.
"Lo realmente interesante de esto es que hemos captado la velocidad del envejecimiento de las personas utilizando datos recopilados en la mediana edad. Y nos ayuda a predecir el diagnóstico de demencia en personas mucho mayores. Encontrar maneras de frenar el deterioro relacionado con la edad es clave para ayudar a las personas a vivir vidas más sanas y largas. Pero primero necesitamos descubrir cómo podemos monitorear el envejecimiento con precisión”, ha insistido el científico. Los datos del estudio se han publicado en 'Nature Genetics'.
Se han desarrollado varios algoritmos para medir el envejecimiento de una persona. Pero la mayoría de estos 'relojes de envejecimiento' se basan en datos recopilados de personas de diferentes edades en un mismo momento, en lugar de seguir a las mismas a medida que envejecen, ha explicado Hariri. “Las cosas que parecen indicar un envejecimiento más rápido pueden deberse simplemente a diferencias en la exposición, a cosas como la gasolina con plomo o el humo del cigarrillo que son específicas de su generación: El desafío es encontrar una medida de cuán rápido se desarrolla el proceso que no esté confundida por factores ambientales o históricos no relacionados con el envejecimiento”, ha insistido.
Antecedentes de la nueva herramienta
Para ello, los investigadores se basaron en datos recopilados de unas 1.037 personas que fueron estudiadas desde su nacimiento como parte del Estudio Dunedin, llamado así por la ciudad de Nueva Zelanda donde nacieron entre 1972 y 1973. Cada pocos años, los investigadores del mismo buscaron cambios en la presión arterial de los participantes, su índice de masa corporal, los niveles de glucosa y colesterol, la función pulmonar y renal y otras medidas, incluso la recesión de las encías y la caries dental.
Utilizaron el patrón general de cambio en estos marcadores de salud a lo largo de casi 20 años para generar una puntuación de qué tan rápido estaba envejeciendo cada persona.
DunedinPACNI, el nuevo reloj de envejecimiento
La nueva herramienta, bautizada como DunedinPACNi, fue entrenada para estimar esta tasa de envejecimiento usando solo información de una única exploración por resonancia magnética del cerebro que se recopiló de 860 participantes del Estudio Dunedin cuando tenían 45 años. Luego, los investigadores la utilizaron para analizar escáneres cerebrales en otros conjuntos de datos de personas en el Reino Unido, Estados Unidos, Canadá y América Latina.
En distintos conjuntos de datos, descubrieron que las personas que envejecían más rápido según esta medida tenían un peor desempeño en las pruebas cognitivas y mostraban una contracción más rápida del hipocampo, una región del cerebro crucial para la memoria. Y lo que es más preocupante es que también tenían mayor probabilidad de experimentar un deterioro cognitivo en años posteriores.
En un análisis, los investigadores examinaron escáneres cerebrales de 624 individuos de entre 52 y 89 años de edad que participaron en un estudio norteamericano sobre el riesgo de padecer enfermedad de Alzheimer. Quienes, según la herramienta, envejecían más rápido al unirse al estudio tenían un 60 % más de probabilidades de desarrollar demencia en los años posteriores.También empezaron a tener problemas de memoria y razonamiento antes que quienes envejecían más lentamente. "Cuando el equipo vio los resultados por primera vez, nos quedamos boquiabiertos", ha compartido Hariri.
Vínculos entre el cuerpo y el cerebro
Los investigadores también descubrieron que las personas cuyas puntuaciones DunedinPACNI indicaban que estaban envejeciendo más rápido tenían más probabilidades de sufrir un deterioro de la salud en general, no solo en su función cerebral. Las personas con puntuaciones de envejecimiento más rápido eran más frágiles y tenían más probabilidades de experimentar problemas de salud relacionados con la edad, como ataques cardíacos, enfermedades pulmonares o accidentes cerebrovasculares.
Las personas que envejecen más rápido tenían un18% más de probabilidades de ser diagnosticadas con una enfermedad crónica en los siguientes años, en comparación con las personas con tasas de envejecimiento promedio. Aún más alarmante es que también tenían un 40% más de probabilidades de morir dentro de ese período de tiempo que aquellos que envejecían más lentamente. “El vínculo entre el envejecimiento del cerebro y el cuerpo es bastante convincente”, ha recordado el científico.

Las correlaciones entre la velocidad del envejecimiento y la demencia fueron igual de fuertes en otros grupos demográficos y socioeconómicos que aquellos con los que se entrenó el modelo, incluida una muestra de personas de América Latina, así como participantes del Reino Unido que tenían bajos ingresos o no eran blancos. “Parece estar capturando algo que se refleja en todos los cerebros”, ha declarado el científicico.
Este trabajo es importante porque las personas en todo el mundo viven más. En las próximas décadas, se prevé que el número de personas mayores de 65 años se duplique alcanzando casi una cuarta parte de la població mundial para 2050. "Pero debido a que vivimos más tiempo, lamentablemente más personas padecerán enfermedades crónicas relacionadas con la edad, incluida la demencia", ha recordado.
El futuro
La carga económica de la demencia ya es enorme. Los tratamientos eficaces para el alzhéimer. La mayoría de los medicamentos aprobados pueden ayudar a controlar los síntomas, pero revierten la enfermedad. Una posible explicación de por qué los medicamentos no han funcionado hasta ahora es que se iniciaron demasiado tarde, cuando las proteínas del Alzheimer que se acumulan dentro y alrededor de las células nerviosas ya habían causado demasiado daño. "Los fáramcos no pueden resucitar un cerebro moribundo”, ha advertido. Pero en el futuro, la nueva herramienta podría permitir identificar antes a personas que puedan estar en vías de desarrollar la enfermedad y evaluar intervenciones para detenerlo (antes de que el daño cerebral se extienda y sin tener que esperar décadas para el seguimiento).
Además de predecir nuestro riesgo de demencia a lo largo del tiempo, el nuevo reloj también ayudará a los científicos a comprender mejor por qué las personas con ciertos factores de riesgo, como la falta de sueño o problemas de salud mental, envejecen de manera diferente,ha recoerdado el primer autor Ethan Whitman , quien está trabajando para obtener un doctorado en psicología clínica con Hariri y los coautores del estudio Terrie Moffitt y Avshalom Caspi , también profesores de psicología y neurociencia en Duke.
Se necesita más investigación para que DunedinPACNI pase de ser una herramienta de investigación a algo que tenga aplicaciones prácticas en la atención médica, agregó Whitman. Pero mientras tanto, el equipo espera que la herramienta ayude a los investigadores con acceso a datos de resonancia magnética del cerebro a medir las tasas de envejecimiento de una manera que los relojes de envejecimiento basados en otros biomarcadores, como los análisis de sangre, no pueden.
"Realmente creemos que será una nueva herramienta clave para pronosticar y predecir el riesgo de enfermedades, especialmente el alzhéimer y las demencias relacionadas, y también quizás para obtener un mejor control sobre la progresión de la enfermedad", ha sentenciado Hariri
