Las 10 buenas noticias de hoy: El inolvidable cumpleaños de Elsa tras 315 días ingresada por Covid

En 65Ymás estamos hartos y sabemos que tú también. La crisis sanitaria mundial que estamos viviendo muchas veces nos lleva a desesperarnos y el goteo incesante de noticias negativas: nuevas variantes del virus, retraso en las vacunaciones, vacunas que iban destinadas a mayores que luego se dice que no son eficaces para el colectivo más golpeado por el coronavirus... no ayuda a superar el desánimo. Ante este panorama, desde 65Ymás queremos contribuir a levantar el ánimo y a evitar que la negatividad se apodere de nosotros, por lo que cada día te traemos noticias positivas que esperamos te alegren la jornada. Este miércoles 17 de febrero destacan:
1.- Un cumpleaños inolvidable
Elsa, una paciente de 52 años, que ingresó en el Hospital Gregorio Marañón de Madrid el 7 de abril de 2020 con Covid-19, ya ha regresado a su casa para celebrar su cumpleaños; entre aplausos del personal sanitario, dijo finalmente este lunes adiós a 315 días en los que ha tenido que luchar para superar una situación muy compleja que la ha mantenido gran parte del ingreso en la UCI y sedada.
? Este es el momento en el que Elsa abandona el Hospital Gregorio Marañón tras permanecer ingresada 10 meses por la #covid_19.
— RTVE (@rtve) February 16, 2021
315 días despúes, vuelve a casa para celebrar su 52 cumpleaños entre los aplausos del personal sanitario.https://t.co/138bc4DDym pic.twitter.com/qmZKC8h16Q
Su situación se fue agravando progresivamente de tal forma que a los 15 días de llegar al hospital precisó su ingreso en una Unidad de Cuidados Intensivos. Allí permaneció hasta el mes de septiembre, la mayor parte del tiempo sedada, con ventilación mecánica y durante un mes en ECMO, un sistema de Oxigenación por Membrana Extracorpórea que la permitió respirar.
Elsa es la paciente que más tiempo ha estado ingresada en el Hospital Gregorio Marañón por Covid-19. Su caso ha sido especialmente grave por las complicaciones derivadas de la Covid-19 y las patologías previas que padecía (linfoma no Hodgkin), concretamente en estos meses ha sufrido un infarto cerebral y distintas infecciones.
"El15 de febrero recibía el alta hospitalaria y volvía a casa gracias a su capacidad de lucha y su fuerza, junto a un despliegue de profesionales del Hospital Gregorio Marañón que le ha proporcionado tratamientos y cuidados durante sus diez meses de ingreso", celebra el centro hospitalario en un comunicado, donde manifiesta su alegría porque este miércoles pueda celebra sus 53 años, en su casa y con su familia.
Su larga estancia en el Hospital Gregorio Marañón ha precisado que más de 300 sanitarios hayan estado directamente implicados en sus cuidados, son profesionales de enfermería, celadores, técnicos en cuidados auxiliares de enfermería, fisioterapeutas y médicos de los servicios de Medicina Interna, UCI, Enfermedades Infecciosas, Neumología, Rehabilitación, Psiquiatría, Endocrinología y Nutrición, Neurología y Hematología, entre otros, todos involucrados en la atención y cuidados de Elsa.
2.- "¡Hasta el infinito y más allá!"

Buzz, de Toy Story, y su famosa frase "¡Hasta el infinito y más allá!", que transmite la idea de que todo es posible y no hay límites si se lucha por ello, nos viene a la mente al leer esta noticia.
La ESA ha presentado un nuevo proceso de selección de astronautas, que se amplia a personas con discapacidad física, gracias a la introducción de un proyecto de viabilidad de parastronautas.
La agencia buscó por última vez candidatos para puestos de astronauta en 2008 y solo ha celebrado tres rondas de contratación, incluida la primera en 1978.
Los detalles completos de los requisitos para la selección de astronautas y el proyecto de viabilidad del parastronauta se publicarán cuando se abran las solicitudes el 31 de marzo. El período de solicitud se extenderá hasta el 28 de mayo de 2021 y se espera que el resultado se anuncie en octubre de 2022.
Además de los astronautas de carrera, que serán entrenados para misiones espaciales complejas o de larga duración y serán contratados como miembros permanentes del personal de la ESA, el proyecto de viabilidad de parastronautas de la ESA es una novedad mundial que tiene como objetivo comenzar a eliminar las barreras para que las personas con discapacidades realicen un trabajo espacial.
3.- Comienza la vacunación de mayores de 80 años

Murcia, Andalucía, Canarias, Cataluña y Aragón ya han comenzado a vacunar a los mayores de 80 años no institucionalizados. En breve lo harán Comunidad Valenciana, Asturias y Cantabria. Mientras el resto de comunidades no se conoce la fecha concreta.
El presidente de Murcia, Fernando López Miras, ha explicado: "Tenemos los espacios y los profesionales para realizar vacunaciones masivas, pero nos faltan las vacunas", quien destacó que "al ritmo que están llegando actualmente las dosis, no acabaríamos la vacunación de los 70.000 mayores de 80 años hasta finales de marzo".
4.- Los brotes en las residencias caen a la mitad

Las vacunas distribuidas en las residencias de mayores empiezan a surtir efecto. Según los últimos datos del Ministerio de Sanidad, la semana pasada se notificaron 103 brotes en centros sociosanitarios, la mitad que hace dos semanas, cuando se notificaron 201 brotes.
No obstante, la vida en las residencias de mayores no será igual que en 2019, al menos, hasta dentro de unos meses. Mientras gran parte de la población española no esté vacunada contra el Covid-19, ni los abrazos sin mascarilla, ni las visitas sin pedir cita, ni, por ejemplo, algo tan normal, como quedarse a comer con los residentes parece que vaya a permitirse en los centros, aunque el 80% de los usuarios estén ya inmunizados, según datos de la patronal Ceaps.
5.- Las comunidades empiezan a concienciarse del problema de la soledad

En España hay cerca de 4,7 millones de hogares unipersonales, 2 millones de los cuales corresponden a personas mayores de 65 años (el 42%), según datos del Imserso. La crisis sanitaria que atravesamos desde hace meses conlleva múltiples problemáticas asociadas y una de las más peligrosas es su incidencia en la soledad de los mayores. Se trata de un tema crucial que tiene un efecto directo en la salud de las personas y en su calidad y esperanza de vida.
Poco a poco las comunidades autónomas van tomando cartas en el asunto y anunciando medidas concretas para combatirla. La última, la Comunidad de Madrid, que acaba de anunciar que está desarrollando un programa de atención a situaciones de soledad no deseada en personas mayores. En la región, más de 276.400 personas mayores viven solas en su domicilio, lo que supone cerca del 25% del total de la población mayor de 65 años.
6.- Avances contra el cáncer

Investigadores de la Universidad en Copenhague (Dinamarca) han publicado un estudio en la revista 'Nature Materials' en el que se abre la puerta a predecir a qué órganos es más probable que se propague el cáncer, incluso antes de que aparezca el tumor.
En concreto, los investigadores analizaron células, modelos de ratones y muestras de pacientes humanos utilizando métodos bioquímicos, matemáticos y biofísicos. Identificaron una proteína presente en la estructura de la membrana en forma de malla (la membrana basal) asociada con el tumor y la suavidad de los vasos, y una buena supervivencia de los pacientes con cáncer.
Probaron si eliminar esta proteína de la membrana basal aumentaría la propagación del cáncer, lo cual sucedió, y si el suministro de esta proteína reduciría la propagación del cáncer, lo cual sucedió. Procedieron a demostrar que los niveles de esta proteína (netrina-4) ya presentes en la membrana basal de los órganos pueden determinar la propagación del tumor incluso antes de que se desarrolle.
"Estos son hallazgos extremadamente emocionantes que abren la posibilidad de predecir a qué órganos es más probable que se propague el cáncer de una persona antes incluso de tenerla. Por lo tanto, esta información tiene el potencial de guiar y mejorar el tratamiento y la atención del paciente con cáncer", han recalcado los investigadores.
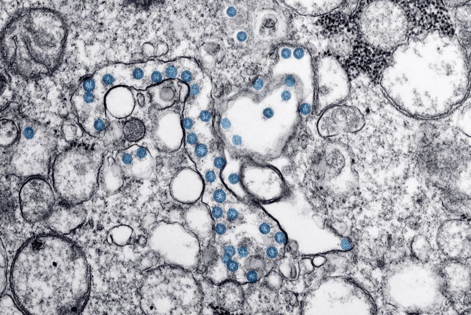
7.- Descubren un nanomaterial que elimina el coronavirus

Un equipo de investigadores del Consejo Superior de Investigaciones Científicas (CSIC) ha desarrollado un nuevo nanomaterial, constituido por nanopartículas de cobre, que inhibe las proteínas del coronavirus SARS-CoV-2, causante de la Covid-19, y bloquea su propagación.
El material, que ya ha sido protegido mediante patente, es aplicable en recubrimiento de mascarillas quirúrgicas, en tejidos de protección de uso hospitalario, y en recubrimiento de superficies de contacto, como barandillas o pomos en el transporte público. Los investigadores están estudiando su desarrollo industrial para llevarlo al mercado.
8.- Los mayores empiezan a salir de las residencias

La Junta de Andalucía acordó el pasado sábado restablecer de nuevo desde este sábado, 13 de febrero, las salidas y visitas en residencias de mayores siempre que hayan pasado al menos siete días de la segunda dosis de la vacunación ante la Covid-19. Así, muchos mayores ya han empezado a salir a pasear, tras tantos meses encerrados.
9.- El pueblo de Madrid sin contagios

Se trata de La Acebeda, una pequeña localidad de la Sierra Norte de Madrid, en la que viven 68 vecinos, se mantiene 100% libre de covid. El temor de sus vecinos al contagio, les ha hecho cerrarse a cal y canto y cumplir las medidas de seguridad contra el coronavirus a rajatabla. Estrategia que les ha funcionado. Los restaurantes, el bar del pueblo y el polideportivo permanecen cerrado desde el principio de la emergencia sanitaria. Además, han suspendido todos los eventos, las fiestas y las reuniones.
10.- Baja el precio de la luz

Después de la subida de precios vivida en la segunda semana de enero por el paso de la borrasca Filomena y la ola de frío, el precio de la luz se ha desplomado un 54% en la primera quincena de febrero gracias a las renovables. Así, el precio diario del mercado mayorista se sitúa en 27,57 euros/MWh.
Los 27,57 euros por MWh de media en estos primeros quince días representan también un descenso del 23,14% frente a febrero de hace un año y son un 38,5% inferior a la media de los últimos cinco años de un mes de febrero.
Según los analistas de Grupo ASE, la sucesión de borrascas atlánticas desde finales de enero ha supuesto una generación renovable extraordinaria, llevando a la producción eólica a unos niveles un 80% superior a los de febrero de 2020.
También se ha incrementado la generación hidroeléctrica en un 51% gracias al rápido crecimiento de los embalses, por el deshielo y las fuertes lluvias en el Noroeste, en las cuencas del Miño y del Duero.
