Ecografía Doppler: un gran avance en el estudio de las venas y el flujo circulatorio sanguíneo
Esta técnica de ultrasonidos, con distintas aplicaciones, permite ver la sangre en su recorrido
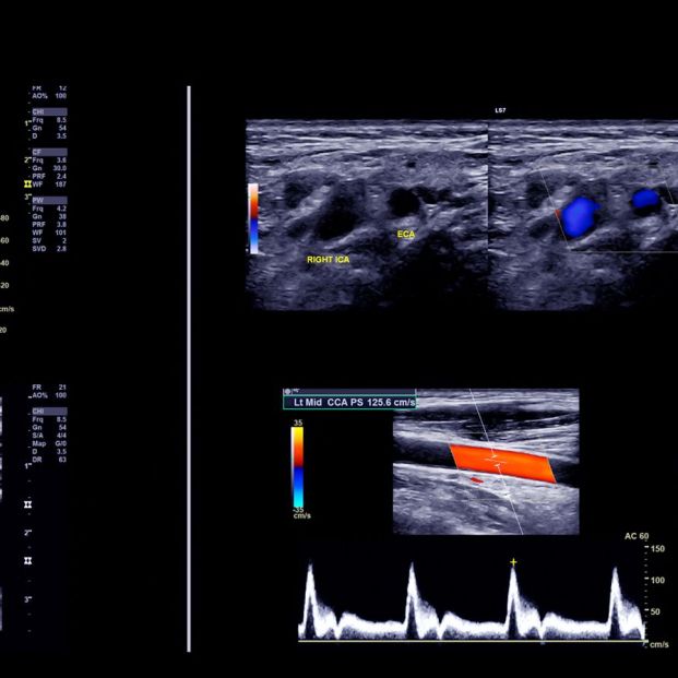
Un Doppler es un dispositivo con el que obtener valiosa información sobre el estado en el que se encuentran las venas y las arterias. Se trata de una técnica no invasiva e indolora que puede resultar esencial en el diagnóstico de enfermedades como la flebitis o la Insuficiencia Venosa Crónica (IVC), como apunta la Asociación Cuida tus Venas (@CuidaTusVenas)
¿Qué información puede reflejar una eco Doppler?
La técnica ecográfica ha experimentado espectaculares avances en las últimas tres décadas y su aplicación se ha extendido a otras especialidades médicas, además de la Ginecología y la Obstetricia. Existen distintos tipos de dispositivos Doppler y todos se basan en la capacidad que tienen las ondas de ultrasonido (US) para reflejar las variaciones que experimenta un "objeto" (por ejemplo, la sangre) en movimiento.
Esos cambios de frecuencia en el sonido es lo que se conoce como la “variación Doppler”, como explica la Sociedad Española de Ecografía en Críticos (ECOCRITIC), y es lo que permite estimar la velocidad y dirección de la sangre o el movimiento de un tejido determinado, como podría ser el miocárdico en una eco que estudie una posible patología cardíaca.

El Doppler actúa a través de un gel conductor que se aplica en la zona que se desea visualizar (igual que cualquier ecografía tradicional), reflejando en el monitor los cambios apreciados. Los dispositivos más avanzados de pulsación discontinua, capaces de asignar distintos colores a los vasos sanguíneos, permiten detectar fácilmente cualquier anomalía que estos puedan presentar, como un estrechamiento o estenosis o situaciones patológicas que impliquen un serio peligro, como puede ser la presencia de un trombo, la inflamación de la vena (felbitis) o un aneurisma.
La técnica de ultrasonido y los resultados visibles que ofrece también permiten conocer si existe algún tipo de reflujo en el torrente sanguíneo, algo de especial importancia a la hora de prevenir cualquier valvulopatía que esté afectando al correcto funcionamiento del corazón o provocando una circulación de retorno deficiente. En la prevención y detección de la Insuficiencia Venosa Crónica, es un paso previo a cualquier tratamiento que corrija o frene esta enfermedad.