¿Por qué el tabaco es aún más perjudicial para las personas mayores?
Fumar es malo siempre, pero con los años, las consecuencias pueden ser cada vez más devastadoras
El hábito nocivo del tabaco está considerado por la Organización Mundial de la Salud (OMS) como una epidemia que mata cada año a más de 7 millones de personas en todo el mundo.
La relación entre las sustancias toxicas y adictivas del tabaco con el desarrollo de determinados tipos de cáncer, especialmente el de pulmón, y con otras enfermedades, principalmente cardiovasculares, está establecida, desde hace décadas, por médicos e investigadores.

¿Por qué tienes que dejar de fumar lo antes posible?
El tabaco hace daño al organismo de cualquier persona, pero los fumadores mayores de 50 años o más son un grupo especialmente vulnerable con riesgo de padecer enfermedades que se complican todavía más por el hecho de fumar.
Lógicamente, el propio envejecimiento natural hace que una persona mayor tenga menos defensas frente al humo y las sustancias tóxicas del tabaco. Además, hay que tener en cuenta que alguien que fuma superados los 50, lo más probable es que sea porque adquirió el hábito tiempo atrás, por lo que, las malas consecuencias de los cigarrillos acumulados pueden agravar cualquier enfermedad, con especial incidencia en aquellas que tienen relación con el sistema respiratorio.
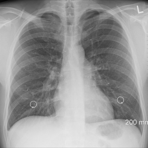
Riesgo de neumonía
Son muchas las razones que indican que el tabaco es aún peor a medida que se van cumpliendo años. La Sociedad Española de Neumología y Cirugía Torácica afirma que el tabaquismo activo y pasivo es un factor de riesgo para desarrollar neumonía sobre todo a partir de los 60 años. Además, a medida que el sistema respiratorio se debilita, la posibilidad de padecer Enfermedad Pulmonar Obstructiva Crónica (EPOC), aumenta. En este sentido, la citada Sociedad recuerda que el 80% de los pacientes de EPOC han sido fumadores.
Por si todos estos motivos no fuesen suficientes para dejar el tabaco de manera radical, también hay que recordar que la OMS lo considera un factor de riesgo que puede favorecer el deterioro cognitivo y el desarrollo de demencias y alzhéimer. Los efectos beneficiosos de dejar el tabaco se notan en la salud, casi de forma inmediata, así que apagar para siempre el cigarrillo es una buena decisión.