Una vacuna nasal contra el COVID-19 previene la infección en los ratones
Investigadores de la Universidad de Washington han explorado esta vía con buenos resultados
Científicos de la Facultad de Medicina de la Universidad de Washington en San Luis (Estados Unidos) han desarrollado una vacuna que ataca el virus del SARS-CoV-2, causante del COVID-19, y que puede administrarse en una dosis por vía nasal y es eficaz para prevenir la infección en ratones susceptibles al nuevo coronavirus. Los investigadores planean a continuación probar la vacuna en primates no humanos y en humanos para ver si es segura y efectiva en la prevención de la infección por COVID-19.
A diferencia de otras vacunas COVID-19 en desarrollo, esta se administra por la nariz, a menudo el sitio inicial de la infección. En este nuevo estudio, publicado en la revista 'Cell', los investigadores encontraron que la vía de administración nasal creó una fuerte respuesta inmune en todo el cuerpo, pero fue particularmente efectiva en la nariz y en el tracto respiratorio, evitando que la infección se arraigara en el cuerpo.
Permite al cuerpo defenderse
"Nos sorprendió ver una fuerte respuesta inmunológica en las células del revestimiento interno de la nariz y las vías respiratorias superiores, y una profunda protección contra la infección de este virus. Estos ratones estaban bien protegidos de la enfermedad. Y en algunos de los ratones, vimos evidencia de inmunidad esterilizante, donde no hay ningún signo de infección después de que el ratón es desafiado con el virus", detalla el autor principal, Michael S. Diamond.
Para desarrollar la vacuna, los investigadores insertaron la proteína de punta del virus, que el coronavirus utiliza para invadir las células, dentro de otro virus (llamado adenovirus) que causa el resfriado común. Pero los científicos ajustaron el adenovirus, haciéndolo incapaz de causar la enfermedad.
El inofensivo adenovirus lleva la proteína de punta a la nariz, permitiendo al cuerpo montar una defensa inmunológica contra el virus del SARS-CoV-2 sin enfermarse. En otra innovación más allá de la administración nasal, la nueva vacuna incorpora dos mutaciones en la proteína punta que la estabilizan en una forma específica que es la más propicia para formar anticuerpos contra ella.

Base de futuras vacunas
"Los adenovirus son la base de muchas vacunas en investigación para el COVID-19 y otras enfermedades infecciosas, como el virus del Ébola y la tuberculosis, y tienen un buen historial de seguridad y eficacia, pero no se ha investigado mucho sobre la administración nasal de estas vacunas. Todas las demás vacunas de adenovirus en desarrollo para COVID-19 se administran mediante inyección en el brazo o el músculo del muslo.
La nariz es una ruta novedosa, así que nuestros resultados son sorprendentes y prometedores. También es importante que una sola dosis produzca una respuesta inmunológica tan robusta. Las vacunas que requieren dos dosis para una protección completa son menos efectivas porque algunas personas, por varias razones, nunca reciben la segunda dosis", explica el coautor principal, David T. Curiel.
Más segura que otras vacunas nasales
Aunque existe una vacuna contra la gripe llamada 'FluMist' que se administra por la nariz, utiliza una forma debilitada del virus vivo de la gripe y no puede administrarse a ciertos grupos, incluidos aquellos cuyo sistema inmunológico está comprometido por enfermedades como el cáncer, el VIH y la diabetes. En cambio, la nueva vacuna intranasal COVID-19 de este estudio no utiliza un virus vivo capaz de replicarse, lo que presumiblemente la hace más segura.
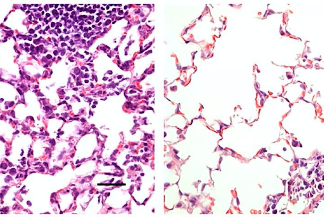
Los investigadores compararon esta vacuna administrada a los ratones de dos maneras: en la nariz y a través de una inyección intramuscular. Mientras que la inyección indujo una respuesta inmune que previno la neumonía, no previno la infección en la nariz y los pulmones. Tal vacuna podría reducir la gravedad de COVID-19, pero no bloquearía totalmente la infección o evitaría que los individuos infectados propagaran el virus.
Por el contrario, la vía de administración nasal previno la infección en las vías respiratorias superiores e inferiores (la nariz y los pulmones) lo que sugiere que los individuos vacunados no propagarían el virus o desarrollarían infecciones en otras partes del cuerpo.
