Las 10 buenas noticias del coronavirus de hoy 23 de julio
En estos días de crisis sanitaria mundial sin precedentes no todo son malas noticias. 65Ymás recopila cada día informaciones positivas para que la negatividad no se apodere de nosotros y hacer más llevadero en confinamiento. Este jueves 23 de julio destacan:
Audiencia de 1.396 millones en los 'no Sanfermines'

La 'no celebración' de los Sanfermines de este año, obligada por el estado de alarma motivado por la pandemia de covid-19, alcanzó una audiencia acumulada mundial de 1.396 millones, concentrándose la información en los días 6 y 7 de julio.
De este modo, Pamplona ha seguido presente a escala internacional del 6 al 14 de julio. Medios de comunicación de todo el mundo se han hecho eco de la noticia de la suspensión de los Sanfermines de este año por criterios de seguridad necesarios por la crisis del coronavirus y, también, del mensaje de la ciudad de que el año que viene sus fiestas volverán a estar preparadas para acoger a vecinos y visitantes.
El Ayuntamiento de Pamplona encargó a las empresas Seguimedia y Tweet Binder sendos estudios sobre el reflejo de los 'no Sanfermines' en lo publicado en todo el mundo entre el 30 de junio y el 15 de julio para constatar que, aún sin fiestas, la ciudad seguía estando presente en el discurso público, también en los medios de comunicación.
Se han registrado casi 5.000 noticias publicadas o emitidas (4.869) sumando una audiencia acumulada de 1.223 millones en medios digitales de todo el mundo (incluyendo los españoles) y otros 173 millones de audiencia en prensa escrita, radio y televisión en España. Casi el 50% de las noticias publicadas lo fueron el 6 y el 7 de julio.
Según el informe de Seguimedia, si este conjunto de contenidos informativos sobre la ciudad se hubiera pagado como publicidad convencional, el Ayuntamiento habría desembolsado 24,6 millones de euros. De todo este 'retorno publicitario' más de una cuarta parte, 7,6 millones de euros, está directamente asociada a la campaña información institucional #LosViviremos.
El Gobierno reduce el canon a los chiringuitos

El Gobierno reducirá el canon a chiringuitos de playa y otras actividades económicas que se desarrollan en el Dominio Público Marítimo Terrestre (DPMT) de forma proporcional al impacto económico que cada uno de estos negocios haya tenido la pandemia del coronavirus.
Así se desprende del Real Decreto por el que se regula la adaptación de la gestión del canon de ocupación y aprovechamiento del DPMT durante la emergencia sanitaria ocasionada por el COVID-19, la desescalada y la fase de 'nueva normalidad'.
Podrán beneficiarse de esta medida todos aquellos titulares de autorizaciones y concesiones de servicios de temporada y establecimientos expendedores de comidas y bebidas que hayan sufrido merma en los beneficios debido a la imposición de medidas excepcionales de cese de actividad, reducción del aforo o aumento de las distancias entre los elementos de las instalaciones durante la emergencia sanitaria.
El objetivo principal de este Real Decreto es ofrecer un marco jurídico de vigencia temporal que atienda a las especiales circunstancias de ocupación y aprovechamiento del DPMT y, en consecuencia, establezca la exigencia del pago del canon en los justos términos en que su ocupación y aprovechamiento puedan llevarse a cabo.
Así, los titulares de las concesiones y autorizaciones referidas no abonarán al Estado la parte del canon correspondiente a los periodos en los que se haya impuesto el cese total de la actividad.
El Papa escribe al menor con discapacidad en 'el Camino'

El Papa ha enviado una carta a Álvaro, un menor español de 15 años con discapacidad, que emprendió el pasado 6 de julio el Camino de Santiago con su padre y lo fue publicando en las redes sociales.
El Papa ha agradecido la "sencillez", "simplicidad" y "alegría" con las que "en medio de la pandemia" ha sido "capaz de poner en movimiento la esperanza de muchas de las personas" que se cruzó en el camino o por las redes sociales". Igualmente, señala que con su peregrinaje ha alentado a muchos a no tener miedo y a recuperar la alegría porque en el camino nunca se va solo.
"Agradecemos al Santo Padre esta carta que acogemos con verdadero amor. Hoy estamos de peregrinación en el lugar de nacimiento de Sto Domingo de Guzmán, ha señalado en su cuenta de Twitter 'El camino de Álvaro', que ya cuenta con más de 3.400 seguidores. Hemos leído la carta y hemos rezado por Su Santidad como hace Álvaro todos los días y a todas horas. ¡Dios lo bendiga!".
Sanidad: "La vacuna eficaz y segura antes de dos años"

La directora de la Agencia Española de Medicamentos y Productos Sanitarios (AEMPS), María Jesús Lamas, ha avanzado que la vacuna "eficaz y segura" contra el COVID-19 "podría estar antes de dos" años, pese a que el tiempo medio para el desarrollo de una vacuna en cualquier enfermedad se sitúa en torno a los diez años.
"Hay datos para asegurar que dispondremos de una vacuna eficaz y segura", ha adelantado. Pese al convencimiento de que habrá una vacuna disponible en algún momento, Lamas ha recordado que será necesario "escalar la producción a un nivel nunca visto", ya que, según esta experta, la población a vacunar será de unas 5.000 millones de personas a nivel mundial. Al respecto, ha señalado que España es una "potencia" en la producción de vacunas veterinarias, por lo que se espera aprovechar esta experiencia en la producción de esta vacuna humana. Para ello, ha indicado que las autoridades están manteniendo contacto con estas compañías para adecuar sus procesos.
Asimismo, ha recordado que España formará parte del proceso de producción de la vacuna contra el COVID-19 que desarrolla la compañía farmacéutica estadounidense Moderna. En concreto, la planta ubicada en Madrid de Rovi Pharma Industrial Services proporcionará capacidad de llenado y acabado de viales de la vacuna que la compañía quiere comercializar para abastecer a los mercados de fuera de Estados Unidos a partir de 2021.
En último lugar, ha insistido en que el virus "no conoce de fronteras. Nos enfrentamos a un problema de salud pública global". Así, ha instado a lograr un "acceso equitativo, justo y solidario con otras regiones menos favorecidas", y ha pedido "no bajar la guardia" ya que "la amenaza del COVID-19 no ha cesado".
La Danza homenajea a los sanitarios en la Alhambra

La Compañía Nacional de Danza ha regresado a los escenarios de la mano del Festival Internacional de Música y Danza de Granada con un programa que rinde tributo a los sanitarios por su entrega y profesionalidad durante la crisis del Covid-19.
El programa, que se desarrolló en el Teatro del Generalife, en el conjunto monumental de la Alhambra, supone la vuelta a las tablas de Joaquín De Luz, en A Suite of Dances, e incluye un homenaje al músico bilbaíno Juan Crisóstomo Arriaga, un estreno encargado a la Compañía Nacional de Danza por el Festival de Granada, que supone una coproducción entre ambas entidades.
La 69 edición del Festival internacional de Granada afronta así su recta final con platos fuertes de su programación. Hoy jueves 23, el vitoriano Juanjo Mena (Premio Nacional de Música, en la modalidad de Interpretación 2016), el director de orquesta español más internacional, estará al frente de la Orquesta Sinfónica de Galicia en el espectacular Palacio de Carlos V, en la Alhambra.
En esta ocasión ofrecerá la Obertura Egmont, la más importante de las diez piezas que Beethoven escribió en 1810 para una representación del Egmont de Goethe, y la Sinfonía núm.7, apoteosis del ritmo, y aquella que, según testimonio de Liszt, 'bailaba Wagner'.
Entre medias, la joven granadina María Dueñas tocará como solista lo que Joseph Joachim, uno de los mayores violinistas de la historia, llamó 'el concierto de los conciertos'.
La orquesta gallega repetirá el día 25 junto a su titular, Dima Slobodeniouk, que ofrecerá la 1ª Sinfonía y la 3ª Sinfonía de Beethoven y cerrará la sesión con la Obertura Coriolano, op. 62, una de las más populares oberturas sinfónicas del músico.
Detector rápido de COVID para el procesado de alimentos

Investigadores del Instituto de Agroquímica y Tecnología de Alimentos (IATA), centro de investigación del Consejo Superior de Investigaciones Científicas (CSIC), participan en un proyecto europeo que desarrolla un dispositivo de detección rápida de coronavirus SARS-CoV-2, causante de la COVID-19, en superficies de procesamiento de alimentos.
Se trata de una plataforma de pruebas automatizadas que se colocará directamente en las instalaciones de procesado de alimentos y proporcionará resultados en menos de una hora sin necesidad de instrumentación compleja o personal especializado.
Hasta ahora, los laboratorios de análisis de muestra requieren hasta siete días. Esta tecnología servirá para validar los procedimientos de limpieza en la industria alimentaria y para detectar otros virus en superficie de contacto alimentario, además del coronavirus SARS-CoV-2.
El proyecto se denomina COVID-19 BAEMitup y recibirá una financiación urgente de 792.000 euros de la convocatoria para proyectos de innovación de respuesta rápida a la Covid-19 puesta en marcha por el Instituto Europeo de Innovación y Tecnología (EIT Food). Este es un organismo integrado en el programa marco de Investigación e Innovación de la Unión Europea Horizonte 2020 y la principal iniciativa de innovación alimentaria de Europa que trabaja para que el sistema alimentario sea más sostenible, saludable y fiable. El organismo cuenta para esta convocatoria con una inversión total de 6,17 millones de euros.
Según ha explicado la investigadora del CSIC en el IATA, Gloria Sánchez, que lidera la participación española en el proyecto, "este dispositivo, diseñado por la empresa SwissdeCode, consiste en un sistema rápido de detección molecular. El sistema ofrece la ventaja de que puede utilizarse 'in situ' y que los resultados se obtienen de manera muy rápida", ha indicado.
El Parlament catalán avala una paga a los sanitarios

El Parlament ha aprobado un decreto para retribuir la productividad de los profesionales del ámbito sanitario y de las residencias de mayores y personas con discapacidad del Institut Català de la Salut (ICS), con una paga extra que irá de 350 a 1.350 euros.
El decreto, que establece el pago en función de las categorías profesionales y del porcentaje del trabajo presencial, se ha aprobado con los votos a favor de JxCat, ERC y la CUP y las abstenciones de Cs, PSC, Comuns y PP.
En su intervención en el Parlament, el vicepresidente de la Generalitat y conseller de Economía y Hacienda, Pere Aragonés, ha explicado que la retribución irá destinada a los profesionales activos que han prestado servicios entre el 1 de marzo y el 31 de mayo de 2020 durante la lucha contra la pandemia de covid-19 y se hará efectiva en la nómina del mes de agosto.
Según Aragonés, el contenido de la propuesta avala la "necesidad y conveniencia" de materializar medidas para reconocer el esfuerzo y compromiso de acuerdo con la productividad de los profesionales que han hecho frente a la crisis del coronavirus sufriendo un desgaste físico y emocional, además de permanecer expuestos a un posible contagio.
Asimismo, ha afirmado que esta adecuación retributiva extraordinaria representa uno de los mayores retos que el coronavirus ha planteado a nivel presupuestario: "Hace falta dar este paso y era necesario hacerlo ahora", ha concluido.
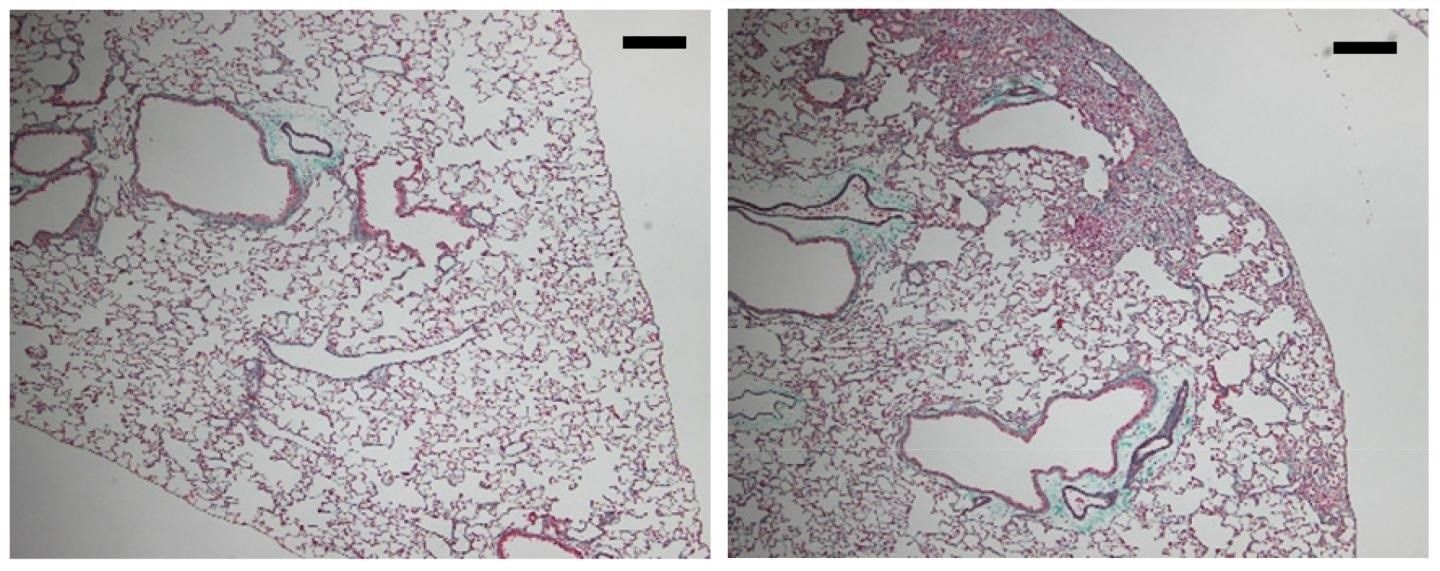
Un candidato de terapia del COVID-19 reduce la fibrosis

La compañía FibroGenesis ha anunciado nuevos datos que apoyan el uso de su producto PneumoBlast(TM) en la lucha contra la COVID-19 y asegura que utilizando el modelo bleomicina ampliamente aceptado de cicatrices pulmonares (fibrosis), los científicos han demostrado que su administración y uso induce a una reducción de un 51% de la fibrosis pulmonar.
Además y lo que es más importante, cuando se administra este fármaco se ha comparado que de forma directa con las células madre mesenquimales derivadas de la médula ósea para la COVID-19, consigue una eficacia un 221% superior. Produciendo el antagonista receptor de la potente proteína anti-inflamatoria interleuquina 1, que se cree es el mecanismo de prevención de tejido blando.
Durante una entrevista realizada con la revista Healthline.com, la doctora Lori Shah, pulmonóloga de trasplantes del New York-Presbyterian/Columbia University Irving Medical Center, declaró: "Los agujeros en los pulmones posiblemente hagan referencia a una entidad que se ha denominado 'post-COVID fibrosis', también conocida como fibrosis post-ARDS (síndrome de aflicción respiratorio agudo), que es irreversible y que puede producir limitaciones funcionales severas en los pacientes, como tos, respiración entrecortada y necesidad de oxígeno". Se ha indicado que la fibrosis pulmonar debida a la COVID-19 se produce en un número cada vez más elevado de pacientes de 20 y 30 años.
Concierto en la Alcazaba a favor de Bancos de Alimentos

La delegada territorial de Cultura y Patrimonio Histórico, Eloísa Cabrera, ha presentado el concierto de la Orquesta Ciudad de Almería (OCAL) 'Ecos en la Alcazaba' que se celebrará el próximo domingo 26 en el Conjunto Monumental de Almería y que tendrá un carácter benéfico a favor del Banco de Alimentos en homenaje a las víctimas y familiares del covid-19.
La delegada ha explicado en una nota que "el concierto tendrá un precio único de 10 euros y animamos a la sociedad almeriense a asistir al festival que tiene un fin solidario y en el que nos hemos implicado todas las administraciones por un causa más que justificada".
Cabrera ha asegurado que "con esta iniciativa que se desarrollará en un marco inigualable como nuestra Alcazaba queremos tener un especial recuerdo para todas las familias de las víctimas de la pandemia sanitaria generada por el coronavirus".
Por su parte, el concejal de Cultura del Ayuntamiento de Almería, Diego Cruz, ha resaltado que "la cultura siempre responde a la llamada de la solidaridad y las tres administraciones nos unimos a la Orquesta Ciudad de Almería para rendir un homenaje musical a las víctimas y familiares del covid-19 y apoyar al Banco de Alimentos en su trabajo ante los efectos económicos de esta crisis".
Sala de bioseguridad para autopsias de Covid-19

La Comunidad de Madrid ha aprobado la dotación de instalaciones y equipamiento necesarios para la creación de una sala de bioseguridad BLS-3 para realizar autopsias a víctimas del Covid-19 en el Instituto de Medicina Legal (IML), de Valdebebas.
Los espacios deben garantizar la seguridad de médicos forenses, técnicos auxiliares de autopsia, técnicos de laboratorio y fotógrafos que intervienen en autopsias a cuerpos cuya causa de fallecimiento esté vinculada al coronavirus o enfermedades similares, tal y como ha detallado el vicepresidente de la Comunidad, Ignacio Aguado, en rueda de prensa.
Este tipo de sala de bioseguridad debe ser independiente completamente del resto de instalaciones del Instituto de Medicina Legal para evitar la contaminación de estancias contiguas de esta infraestructura. El importe de la inversión para el equipamiento de esta sala asciende a 609.000 euros, y el plazo de ejecución de la obra es de tres meses.
Con esta decisión se completa la puesta en funcionamiento del Instituto de Medicina Legal que, a partir de otoño, permitirá con las vistas puestas en la investigación, combatir el Covid-19 a través de la realización de autopsias a fallecidos contagiados por este virus.
Asimismo, la cercanía del IML con el nuevo Hospital de Emergencias que la Comunidad de Madrid ya está construyendo en una parcela anexa, y que se llamará Isabel Zendal, va a permitir "el desarrollo de sinergias que mejoren la capacidad de estudio" del coronavirus.
