El cuidado de los dientes y encías puede mejorar la salud cerebral
Un mal cuidado bucal aumenta el riesgo de accidente cerebrovascular, cardiovascular e hipertensión
El cuidado de los dientes y encías puede mejorar la salud cerebral, según un estudio llevado a cabo por investigadores de la Escuela de Medicina de Yale (Estados Unidos) y que se va a presentar en la Conferencia Internacional sobre Accidentes Cerebrovasculares 2023.
Investigaciones previas han demostrado que la enfermedad de las encías, la falta de dientes y otros signos de mala salud bucal, así como los malos hábitos de cepillado y la falta de eliminación de la placa, aumentan el riesgo de accidente cerebrovascular, cardiovascular e hipertensión.
Entre 2014 y 2021, los investigadores de este estudio analizaron el vínculo potencial entre la salud bucal y la salud cerebral entre aproximadamente 40.000 adultos (46% hombres, edad promedio 57 años) sin antecedentes de accidente cerebrovascular.
Los participantes fueron evaluados en busca de 105 variantes genéticas conocidas por predisponer a las personas a tener caries y dentaduras postizas, y se evaluó la relación entre la carga de estos factores de riesgo genéticos para la mala salud bucal y la salud cerebral.
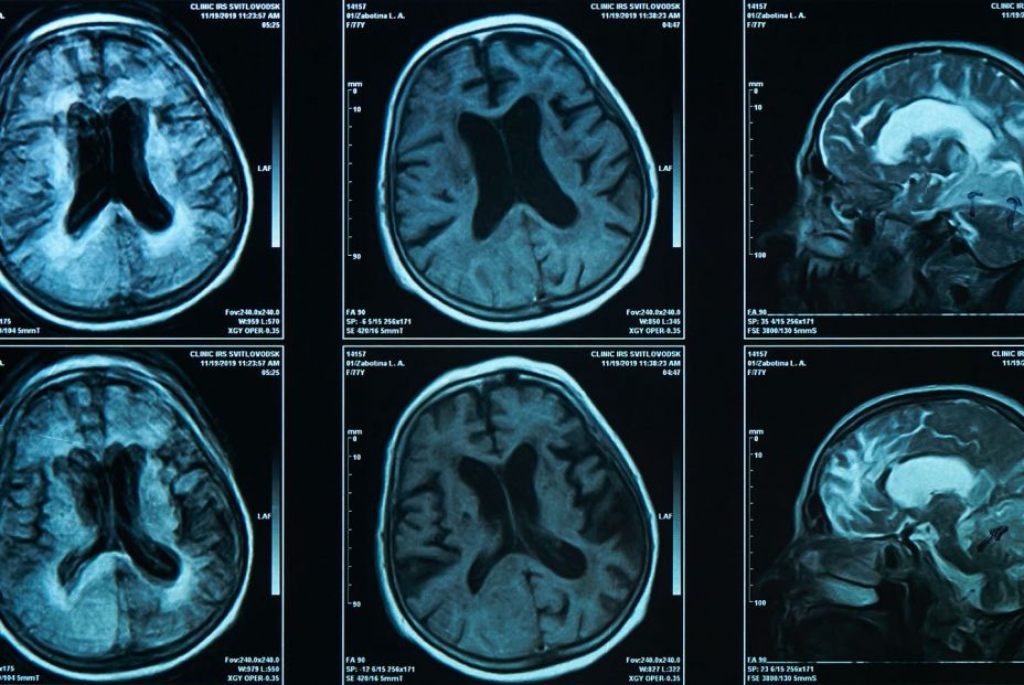
Los signos de mala salud cerebral se examinaron a través de imágenes de resonancia magnética de los cerebros de los participantes: hiperintensidades de la materia blanca, definidas como daños acumulados en la materia blanca del cerebro, que pueden afectar la memoria, el equilibrio y la movilidad; y daño microestructural, que es el grado en que la arquitectura fina del cerebro ha cambiado en comparación con las imágenes de un escáner cerebral normal de un adulto sano de edad similar.

Así, los expertos observaron que las personas genéticamente propensas a las caries, a las que les faltaban dientes o necesitaban dentaduras postizas tenían una mayor carga de enfermedad cerebrovascular silenciosa, representada por un aumento del 24 por ciento en la cantidad de hiperintensidades de la sustancia blanca visibles en las imágenes de resonancia magnética.
"La mala salud bucal puede causar deterioros en la salud del cerebro, por lo que debemos tener mucho cuidado con nuestra higiene bucal porque tiene implicaciones mucho más allá de la boca. Sin embargo, este estudio es preliminar y se necesita recopilar más evidencia, idealmente a través de ensayos clínicos, para confirmar que mejorar la salud bucal en la población conducirá a beneficios para la salud cerebral", han dicho los expertos.
