Un estudio revela que el covid puede realizar cambios estructurales en el cerebro
Los síntomas neurológicos se encuentran en las complicaciones respiratorias
Un estudio realizado por investigadores brasileños ha mostrado cómo el SARS-COV-2 infecta las células cerebrales llamadas astrocitos, provocando cambios estructurales en el cerebro.
La infección por el SARS-CoV-2 puede causar alteraciones cerebrales y disfunción neurocognitiva, sobre todo en el largo síndrome COVID-19, pero los mecanismos subyacentes aún se desconocen.

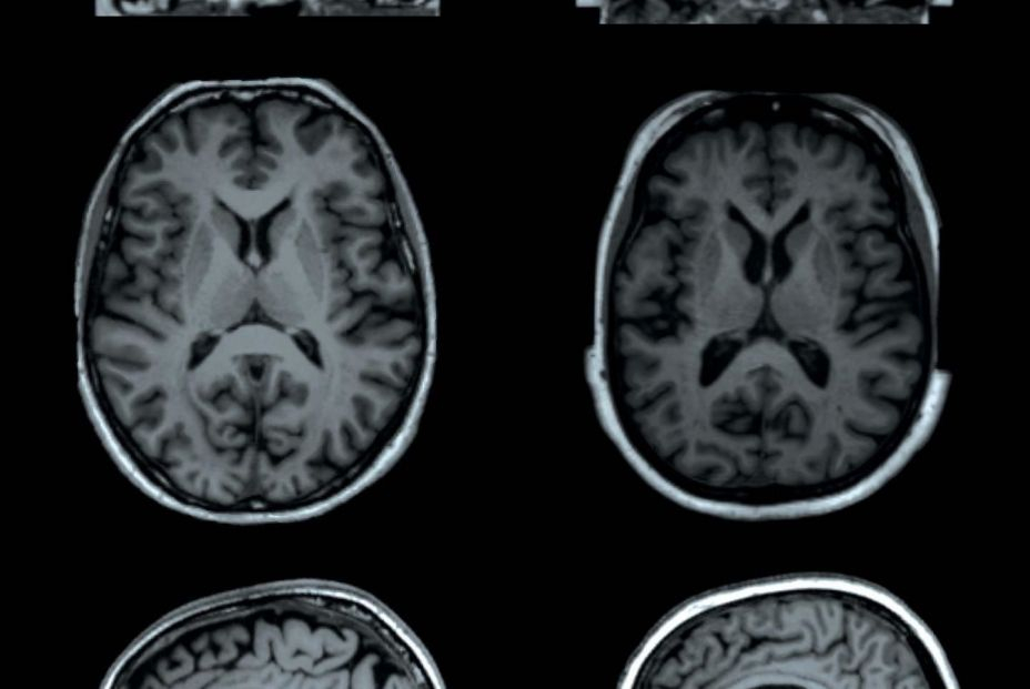
El investigador Daniel Martins-de-Souza, de la Universidad de Campinas (Brasil), y sus colegas utilizaron la resonancia magnética para comparar la estructura cerebral de 81 participantes en el estudio que se recuperaban de una infección leve por COVID-19 y 81 individuos sanos. Los autores descubrieron que el primer grupo presentaba un menor grosor cortical, lo que se correlacionaba con las deficiencias cognitivas y síntomas como la ansiedad y la depresión.
Los autores analizaron muestras cerebrales de 26 personas que habían fallecido a causa del COVID-19, y descubrieron que las muestras de cinco de estos individuos presentaban daños en los tejidos.
Un análisis más detallado de las muestras cerebrales dañadas reveló que los astrocitos, que son células cerebrales que sostienen el metabolismo neuronal, eran especialmente propensos a infectarse con el SARS-CoV-2 y que el virus entra en estas células a través del receptor NRP1.
Una vez infectados, los astrocitos presentaban niveles alterados de los metabolitos utilizados para alimentar las neuronas y la producción de neurotransmisores, y las células infectadas secretaban moléculas neurotóxicas. Según los autores, los hallazgos descubren los cambios estructurales observados en los cerebros de las personas con COVID-19.
La importancia del estudio denota que los síntomas neurológicos se encuentran entre las complicaciones extrapulmonares más frecuentes de la COVID-19, afectando a más del 30 por ciento de los pacientes. En este estudio, aportan pruebas de que el coronavirus del síndrome respiratorio agudo severo 2 (SARS-CoV-2) se encuentra en el cerebro humano, donde infecta a los astrocitos y, en menor medida, a las neuronas.
También demuestran que los astrocitos son susceptibles a la infección por el SARS-CoV-2 a través de un mecanismo no canónico que implica la interacción pico-NRP1 y responden a la infección remodelando el metabolismo energético, lo que a su vez, altera los niveles de metabolitos utilizados para alimentar las neuronas y apoyar la síntesis de neurotransmisores.
El fenotipo secretor alterado de los astrocitos infectados perjudica entonces la viabilidad neuronal. Estas características podrían explicar el daño y los cambios estructurales observados en los cerebros de los pacientes con COVID-19.
Aunque cada vez hay más pruebas que confirman las manifestaciones neuropsiquiátricas asociadas principalmente a la infección grave por COVID-19, se ha observado con frecuencia una disfunción neuropsiquiátrica a largo plazo (caracterizada recientemente como parte del síndrome de "COVID-19 largo") tras una infección leve.
El estudio muestra el espectro del impacto cerebral de la infección por el coronavirus del síndrome respiratorio agudo severo 2 , que va desde las alteraciones a largo plazo en individuos con infección leve (atrofia cortical orbitofrontal, deterioro neurocognitivo, fatiga excesiva y síntomas de ansiedad) hasta el daño agudo severo confirmado en muestras de tejido cerebral extraídas de la región orbitofrontal (mediante acceso transetmoidal endonasal) de individuos fallecidos por COVID-19.
