Los antiinflamatorios como el ibuprofeno podrían empeorar la inflamación por la artrosis
Un estudio advierte de los peligros del consumo de estos medicamentos para la salud articular
Tomar analgésicos antiinflamatorios como el ibuprofeno y el naproxeno para la artrosis puede empeorar la inflamación de la articulación de la rodilla con el paso del tiempo, según un nuevo estudio que se presentará la próxima semana en la reunión anual de la Sociedad Radiológica de Norteamérica (RSNA, por sus siglas en inglés).
La artrosis es la forma más común de artritis, que afecta a más de 500 millones de personas en todo el mundo. Se produce con mayor frecuencia en las manos, las caderas y las rodillas. En las personas con artrosis, el cartílago que amortigua la articulación se desgasta gradualmente. La artritis suele ir acompañada de una inflamación, o hinchazón, de la articulación, que puede ser dolorosa. Los antiinflamatorios no esteroideos (AINE) se recetan habitualmente para el dolor y la inflamación de la artrosis. Pero se sabe poco de los efectos a largo plazo de estos fármacos sobre la progresión de la enfermedad.
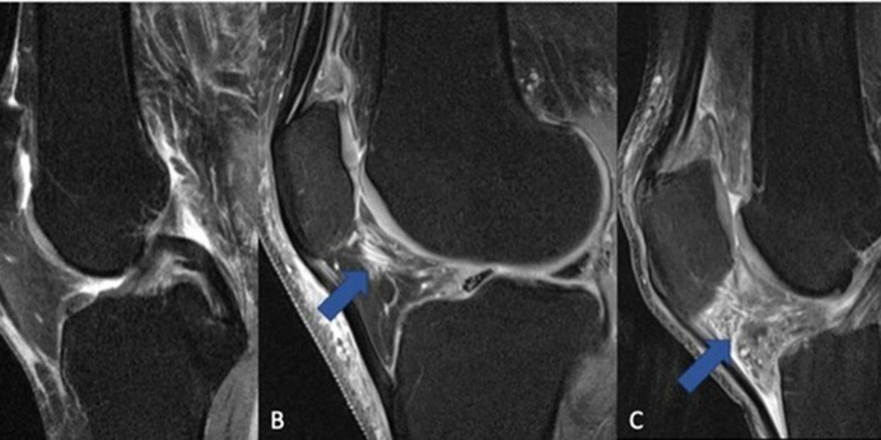
La aparición de sinovitis

"Hasta la fecha, no se ha aprobado ninguna terapia curativa para curar o reducir la progresión de la artrosis de rodilla. Los AINE se utilizan con frecuencia para tratar el dolor, pero sigue siendo un debate abierto el modo en que el uso de AINE influye en los resultados de los pacientes con artrosis. En particular, el impacto de los AINE en la sinovitis, o la inflamación de la membrana que recubre la articulación, nunca se ha analizado utilizando biomarcadores estructurales basados en la RM", ha comentado la autora principal del estudio, Johanna Luitjens, becaria postdoctoral del Departamento de Radiología e Imagen Biomédica de la Universidad de California en San Francisco (Estados Unidos).
Los investigadores se propusieron analizar la asociación entre el uso de AINE y la sinovitis en pacientes con artrosis de rodilla y evaluar cómo el tratamiento con AINE afecta a la estructura de la articulación a lo largo del tiempo. "La sinovitis interviene en el desarrollo y la progresión de la artrosis y puede ser un objetivo terapéutico. Por lo tanto, el objetivo de nuestro estudio era analizar si el tratamiento con AINE influye en el desarrollo o la progresión de la sinovitis e investigar si los biomarcadores de imagen del cartílago, que reflejan los cambios en la artrosis, se ven afectados por el tratamiento con AINE", ha explicado Luitjens.
"Ningún beneficio a largo plazo"

Los resultados no mostraron ningún beneficio a largo plazo del uso de AINE. La inflamación de las articulaciones y la calidad del cartílago eran peores al inicio en los participantes que tomaban AINE, en comparación con el grupo de control, y empeoraron en el seguimiento de cuatro años.
"En este amplio grupo de participantes, pudimos demostrar que no había mecanismos protectores de los AINE en la reducción de la inflamación o en la ralentización de la progresión de la artrosis de la articulación de la rodilla. El uso de los AINE por su función antiinflamatoria se ha propagado con frecuencia en pacientes con artrosis en los últimos años y debería revisarse, ya que no se pudo demostrar un impacto positivo en la inflamación de la articulación", ha resumido Luitjens.
Según la investigadora, hay varias razones posibles por las que el uso de AINE aumenta la sinovitis: "Por un lado, es posible que el efecto antiinflamatorio que normalmente tienen los AINE no prevenga eficazmente la sinovitis, y que el cambio degenerativo progresivo dé lugar a un empeoramiento de la sinovitis con el tiempo. Por otra parte, los pacientes que tienen sinovitis y toman medicamentos para aliviar el dolor pueden ser físicamente más activos debido al alivio del dolor, lo que podría conducir potencialmente al empeoramiento de la sinovitis, aunque ajustamos la actividad física en nuestro modelo".
