Las mujeres con cáncer de mama de bajo riesgo podrían no necesitar radiación
Este estudio supone un gran avance en el tratamiento de esta enfermedad
Un estudio de la Universidad McMaster, BC Cancer, Hamilton Heath Sciences y la Universidad de Columbia Británica de Canadá, da esperanzas a las mujeres con cáncer de mama de bajo riesgo en estado inicial, las cuales puede que no necesiten radioterapia tras la cirugía conservadora de la mama.
La investigación, publicada en The New England Journal of Medicine, ya se presentó en junio de 2022 en el Congreso Anual de la Sociedad Estadounidense de Oncología Clínica (ASCO). Ahora, una serie de expertos han comprobado que la investigación es correcta, que las mujeres de 55 años o más con un subtipo específico de cáncer de mama en estadio 1 pueden tratarse eficazmente sólo con cirugía y terapia endocrina.
Normalmente, las mujeres con cáncer de mama precoz que se someten a cirugía conservadora de la mama suelen recibir radiación diaria en la mama durante varias semanas para reducir el riesgo de que el cáncer reaparezca en la mama. No obstante, la radiación puede ser costosa, incómoda para la paciente y puede tener efectos secundarios a corto plazo, como cansancio e irritación cutánea, y a largo plazo, como dolor mamario y engrosamiento del tejido mamario, que pueden afectar al aspecto de la mama y a la calidad de vida de la mujer.
El estudio, coordinado por el Grupo de Oncología Clínica de Ontario, en Hamilton Heath Sciences, siguió a 500 mujeres de todo Canadá de 55 años o más que se habían sometido a cirugía conservadora de la mama y cuyos tumores eran menores de dos centímetros sin cáncer en los ganglios linfáticos de la axila.
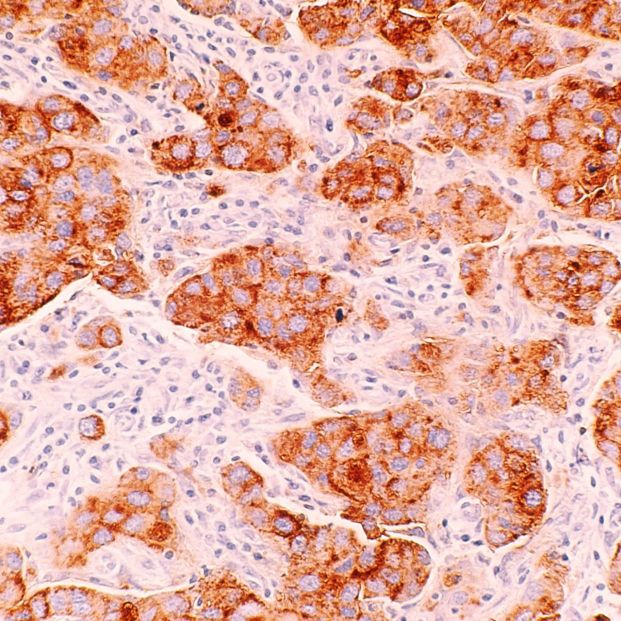
El índice de crecimiento del tumor de cada mujer se evaluó con una versión sencilla, barata y fabricada en BC de una prueba molecular denominada Ki67, que proporcionaba una medida cuantitativa de que el cáncer de la participante era de bajo riesgo.
Los científicos se centraron en el subtipo de cáncer de mama denominado luminal A, que representa hasta el 60% de todos los cánceres de mama diagnosticados anualmente, en el que se asocian a un menor riesgo de recidiva. Este se determinó mediante una lectura baja en la prueba Ki67 y la presencia en el tumor de los receptores de estrógeno y progesterona. Si se determinaba que el riesgo era bajo, las mujeres se inscribían en el ensayo, en el que recibían terapia endocrina estándar pero no radiación.

La radioterapia es una práctica habitual en estas enfermedades, por lo que las participantes fueron controladas por exámenes clínicos periódicos y mamografías anuales. Al organizar el estudio, los investigadores ya vaticinaron que el riesgo de desarrollar recidivas en la mama sería muy bajo a los cinco años, y así fue, el 2,3% de las pacientes estuvieron sin radioterapia, y el 1,9% tuvieron riesgo de desarrollar un nuevo cáncer de mama en la otra mama no tratada.
Esta nueva investigación concluye con que una proporción significativa de mujeres puede ahorrarse la radiación tras la cirugía conservadora de la mama. Eliminar la necesidad de que este grupo reciba radiación permitirá a las mujeres evitar los efectos secundarios de la terapia y puede devolver capacidad al sistema público de salud, permitiendo un mayor acceso a quienes necesitan radioterapia con más urgencia.
"Se trata de un gran avance en el tratamiento del cáncer de mama. Gracias a un mejor conocimiento de la biología molecular del cáncer de mama, ahora podemos identificar a las mujeres que no necesitan radioterapia", ha afirmado el autor principal del estudio, profesor del Departamento de Oncología de la Universidad McMaster y titular de la Cátedra de Investigación del Cáncer de Mama de Canadá, Tim Whelan.
"La prueba molecular Ki67, utilizada en este ensayo clínico, se basa en un método barato y sencillo denominado inmunohistoquímica, y puede sustituir a métodos de análisis más costosos y complicados. Ki67 utiliza un anticuerpo aplicado a los tejidos y una sencilla reacción química para identificar la velocidad de crecimiento de los tumores. La prueba es asequible, de código abierto y puede estar disponible en los laboratorios de hospitales de todo el mundo", ha explicado Torsten Nielsen, el científico clínico de BC Cancer y profesor de Patología y Medicina de Laboratorio de la Universidad de Columbia Británica.
Según los autores, el riesgo general de recurrencia del cáncer tras la cirugía conservadora de la mama ha disminuido en los últimos años gracias a las mamografías periódicas, la mejora de las técnicas quirúrgicas y los tratamientos sistémicos.